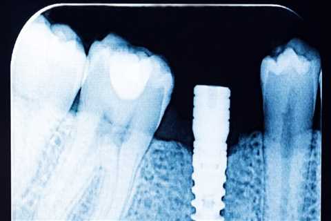
How Dental X-Rays Influence Treatment Planning for Implants and Orthodontics

How Dental X-Rays Influence Treatment Planning for Implants and Orthodontics How Dental X-Rays Influence Treatment Planning for Implants and Orthodontics

Dental X-rays have revolutionized modern dentistry by allowing professionals to see what the naked..
Early Detection and Effective Lung Cancer Treatment in Lake Worth Early Detection and Effective Lung Cancer Treatment in Lake Worth

Discover the importance of early lung cancer diagnostics and treatment options at Hematology..
Dr. Tatjana Cepurnaja Dr. Tatjana Cepurnaja

General dentist with a special interest in Cosmetic Dentistry GDC Number: 310154 She is a highly..
Comprehensive General Dentistry & Primary Care in Charleston Comprehensive General Dentistry & Primary Care in Charleston

Discover holistic health solutions at Premier Medical's primary care clinic in Charleston.
Understanding the Accuracy of Medical Diagnostic Tests Understanding the Accuracy of Medical Diagnostic Tests

Explore the accuracy of medical diagnostic tests, their importance, and factors influencing..
The Importance of Early Medical Diagnostics: Unlocking Health Benefits The Importance of Early Medical Diagnostics: Unlocking Health Benefits

Discover the key benefits of early medical diagnostics, including improved treatment outcomes,..
Straightening Teeth Discreetly at Any Age With Invisalign Straightening Teeth Discreetly at Any Age With Invisalign

A Modern Approach to Straighter Smiles For many individuals, achieving a perfect smile remains..
Understanding the Risks of Teeth Cleaning During Pregnancy Understanding the Risks of Teeth Cleaning During Pregnancy

Discover the potential risks of teeth cleaning during pregnancy and how to maintain oral health..
The Impact of Diet on the Frequency of Professional Teeth Cleanings The Impact of Diet on the Frequency of Professional Teeth Cleanings

Discover how your diet influences the need for professional teeth cleanings and learn tips for..
Understanding the Impact of Teeth Cleaning on Coffee and Tea Stains Understanding the Impact of Teeth Cleaning on Coffee and Tea Stains

Discover how teeth cleaning can effectively remove coffee and tea stains, enhancing your smile and..
Understanding the Costs of Teeth Cleaning Procedures Understanding the Costs of Teeth Cleaning Procedures

Discover the costs of teeth cleaning procedures, factors affecting prices, and tips to save on..
Understanding the Teeth Cleaning Process: A Step-by-Step Guide Understanding the Teeth Cleaning Process: A Step-by-Step Guide

Discover the essential steps of the teeth cleaning process and its importance for maintaining..
How Long Will I Wear Traditional Metal Braces in Tempe? How Long Will I Wear Traditional Metal Braces in Tempe?

Most patients wear traditional metal braces for 18 to 24 months. Treatment time ranges from 12..
Top 5 Questions to Ask Your Orthodontist in Herndon, VA Top 5 Questions to Ask Your Orthodontist in Herndon, VA

  Choosing orthodontic treatment is a meaningful step toward a healthier, straighter smile. Whether ..
How to Handle Common Metal Braces Discomfort at Home How to Handle Common Metal Braces Discomfort at Home

Metal braces are a great way to straighten your teeth, but they can come with some discomfort...
Expert Wisdom Teeth Removal in Zelienople, PA Expert Wisdom Teeth Removal in Zelienople, PA

Discover why professional wisdom teeth removal is crucial for your dental health with Marion Smile..
Understanding Dental X-Rays: Essential Insights for Atlanta Orthodontic Patients Understanding Dental X-Rays: Essential Insights for Atlanta Orthodontic Patients

Discover why dental X-rays are crucial for precise care in Atlanta. Consult Quest Orthodontics for..
Transform Your Smile with Top-Notch Invisalign Dentists in Fort Walton Beach Transform Your Smile with Top-Notch Invisalign Dentists in Fort Walton Beach

Discover how Invisalign can enhance your smile at Sandy Smiles Orthodontics in Fort Walton Beach,..
Discover the Benefits of Laser Dentistry in Alexandria Discover the Benefits of Laser Dentistry in Alexandria

Explore laser dentistry at Hughes Orthodontics in Alexandria for precise and comfortable care.
Enhance Your Smile Comfortably with Sedation Dentistry Enhance Your Smile Comfortably with Sedation Dentistry

Discover how sedation dentistry can make cosmetic procedures in Woodcliff Lake, NJ, comfortable and ..
Top 5 Tips for Making Traditional Braces More Comfortable Top 5 Tips for Making Traditional Braces More Comfortable

Getting used to traditional braces takes time, but small daily habits can make a big difference...
Transform Your Smile with LightForce Braces in Mill Creek Transform Your Smile with LightForce Braces in Mill Creek

Discover the benefits of laser dentistry and LightForce custom clear braces at Bastian Orthodontics ..
How Dental X-Rays Enhance Invisalign at Bastian Orthodontics How Dental X-Rays Enhance Invisalign at Bastian Orthodontics

Discover the role of dental X-rays in custom Invisalign plans at Bastian Orthodontics in Mill Creek,..
How Laser Dentistry Helps Treat Gum Disease Without Surgery How Laser Dentistry Helps Treat Gum Disease Without Surgery

Gum disease is one of the most common oral health problems, affecting millions of people worldwide. ..
When Pain Can’t Wait—Basel’s General Dentistry Experts Are Here For Your Emergency When Pain Can’t Wait—Basel’s General Dentistry Experts Are Here For Your Emergency

A sudden toothache, broken crown, or dental injury can be stressful and painful, but expert help is ..
Beyond The Pull: Understanding Wisdom Teeth Extraction In San Diego, CA Beyond The Pull: Understanding Wisdom Teeth Extraction In San Diego, CA

Wisdom teeth removal is a common dental procedure, yet it often brings up plenty of questions and..
Hungarian Dentist in UK Hungarian Dentist in UK

Hungarian Dentist in UK   If you’re searching for a Hungarian dentist in UK, you’re in the right..
First-Time Guide to Standard Metal Braces for Preteens and Tweens First-Time Guide to Standard Metal Braces for Preteens and Tweens

Getting metal braces can feel like a big step for preteens and tweens, but it’s one that can lead..
How to Handle Soreness from Traditional Braces Like a Pro How to Handle Soreness from Traditional Braces Like a Pro

Braces are a great way to achieve a healthier and more confident smile. However, they can cause..
Clean 100% — don’t miss the 40%! 💧🦷 Clean 100% — don’t miss the 40%! 💧🦷

Dental Clinic in London A dental health treatment includes oral scaling, polishing of tooth surface,..
Basel Dentistry: Why Severe Tooth Pain Relief Requires More Than Just Dentistry Tools Basel Dentistry: Why Severe Tooth Pain Relief Requires More Than Just Dentistry Tools

In Basel, Switzerland, the quiet beauty of the city's cobblestone streets and stunning architecture ..
Building Smiles: How Modern Clinic Design Enhances Dental Health Care Building Smiles: How Modern Clinic Design Enhances Dental Health Care

In today’s evolving landscape of dental care, clinic design plays a pivotal role in shaping patient ..
Braces for Athletes: How to Protect Your Smile During Sports Braces for Athletes: How to Protect Your Smile During Sports

Participating in sports offers many benefits, from physical fitness to improved teamwork skills...
Your Guide To Wisdom Teeth Removal With A Trusted Dentist In Summerville, SC Your Guide To Wisdom Teeth Removal With A Trusted Dentist In Summerville, SC

Wisdom teeth are the final set of molars that usually emerge in the late teens or early twenties...
Single Tooth Dental Implants | Edental Perth Single Tooth Dental Implants | Edental Perth

Achieve a perfect smile with Single Tooth Dental Implants from eDental Perth. Our expert team..
How to Encourage Your Teen to Stick to Their Braces Care Routine in Marietta How to Encourage Your Teen to Stick to Their Braces Care Routine in Marietta

  Braces can be a big adjustment for both teens and parents. While your orthodontist handles the..
How Long Do Dental Implants Last How Long Do Dental Implants Last

Proper care and lifestyle choices can greatly influence the longevity of dental implants discover..
Emergency Dental Care - Broken Veneers Emergency Dental Care - Broken Veneers

While dental veneers are tough and durable, there’s a small chance that they can crack or break..
Safe And Stress-Free Tooth Extraction For Kids In Summerville, SC Safe And Stress-Free Tooth Extraction For Kids In Summerville, SC

Gentle care builds lifelong trust. In Summerville, SC, ensuring a positive dental experience for..
eDentalKarrinyup eDentalKarrinyup

Classified posted by on HyeGlobe.
previous post